Estetska stomatologija
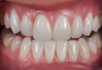
Estetska stomatologija usmjerena je na postizanje zadovoljstva pacijenata njihovim izgledom, ponajprije osmijehom. Suvremeni pojam koji se u svijetu koristi kada je riječ o estetskoj stomatologiji jest "smile design".
Što je smile design?
Jednostavno rečeno, to je proces putem kojeg se dizajnira pacijentov najbolji i najljepši osmijeh. Svaki smile design je jedinstven i ovisi od osobe do osobe. Postupak dizajna najljepšeg osmijeha vrši se individualno. Smile design postiže se u nekoliko koraka, a uključuje niže navedene usluge.
Estetska stomatologija usmjerena je na postizanje zadovoljstva pacijenata njihovim izgledom, ponajprije osmijehom. Suvremeni pojam koji se u svijetu koristi kada je riječ o estetskoj stomatologiji jest "smile design". Što je smile design?
Jednostavno rečeno, to je proces putem kojeg se dizajnira pacijentov najbolji i najljepši osmijeh. Svaki smile design je jedinstven i ovisi od osobe do osobe. Postupak dizajna najljepšeg osmijeha vrši se individualno. Smile design postiže se u nekoliko koraka, a uključuje niže navedene usluge.
- Izbjeljivanje zubi
- Keramičke ljuskice ili laminati
- Keramičke krune i mostovi
- Zubni nakit - cirkoni i pravo drago kamenje
Izbjeljivanje zubi
Prirodna boja zubi, na žalost, ne mora uvijek biti bijela kako bismo željeli. Stoga se kao kozmetička i estetska metoda preporuča izbjeljivanje zubi. To je priznata i rutinska metoda kojom se mogu postići zadivljujući rezultati. Zubi mogu biti nedovoljno lijepe boje zbog različitih faktora: genetskih, degenerativnih promjena u razvoju zubi, utjecaja antibiotika, nekih vitaminskih i mineralnih preparata, zbog konzumiranja hrane ili vode s većim udjelom željeza ili fluora, pušenja, zbog starenja, itd. U većini slučajeva izbjeljivanje se izvodi zbog estetskih razloga.
Postoje dva najčešća načina izbjeljivanja zuba:
- Izbjeljivanje kod kuće metodom udlage vrlo je efikasan način postizanja lijepog i svijetlog osmijeha. Pacijent sam aplicira gel za izbjeljivanje u odgovarajuću udlagu koju je za njega napravio stomatolog, postavlja udlagu na zube i nosi je preko noći (8 sati). Cijeli tretman traje 8 - 10 nošenja (noći). Efekt izbjeljivanja često je vidljiv već nakon prve noći. Vrijeme potrebno za maksimalno izbjeljivanje zubi ovisi o tome koliko su zubi tamno obojani, odnosno zasićeni tamnim pigmentima.
Aktivno sredstvo za izbjeljivanje koji se u procesu koristi je karbamid peroxid s neutralnim pH od 6.9. Karbamid peroksid je sigurno kemijsko sredstvo, desetljećima korišteno za dezinfekciju usne šupljine, dok danas omogućuje milijunima ljudi diljem svijeta da izbijele svoje zube.
- Izbjeljivanje zuba u ordinaciji obavlja se pomoću posebnog snažnog preparata za izbjeljivanje (Opalescence Boost). Efekt bijelih zubi može se postići već nakon 2 do 3 posjete. Takva metoda je puno brža, a jednako je sigurna i učinkovita poput metode s udlagom. Ponekad jako tamni zubi trebaju duži period izbjeljivanja.
Zašto izbijeliti zube?
Za pacijente koji redovito održavaju oralnu higijenu, izbjeljivanje zubi ima dugotrajniji efekt od bilo kojeg drugog stomatološkog tretmana. Bijeli zubi jednostavno su lijepi.
Proces izbjeljivanja zubi:
- Prije početka tretmana izbjeljivanja, stomatolog pregledava postojeće stanje zubi i zubnog mesa kako bi zajamčio maksimalnu sigurnost tretmana
- Stare plombe i kamenac u većini slučajeva stomatolog uklanja prije tretmana, a eventualne šupljine popunjava. U takvim slučajevima izrađuju se privremene ispune na zubima dok ne završe proces izbjeljivanja, nakon čega se zamjenjuju trajnim ispunama
- Ovisno o pacijentovom stilu života i razini diskoloracije zubi, stomatolog određuje vrstu tretmana izbjeljivanja Pripazite na kućne preparate za izbjeljivanje zubi!
Na tržištu se nalazi veliki broj proizvoda za izbjeljivanje zubi koji jamče uspjeh u izbjeljivanju zubi ali kod kojih se ne traži stručno vodstvo i pomoć stomatologa. Bez nadležnosti stomatologa može doći do neravnomjernog izbjeljivanja zubi. Pacijenti često ne primjećuju da imaju ispune u boji zuba koje neće pobijeliti te će ih se kasnije nakon takvog "kućnog" izbjeljivanja morati zamijeniti novima. U slučajevima nekontroliranog prekomjernog izbjeljivanja, zubi mogu postati transparentni, a samim time i tamniji jer se amalgamski ispuni mogu početi prikazivati kroz strukturu zuba. Ako pacijent ima stare ispune često se javlja i bol. Samo stomatolog može pripremiti pacijenta na pravilan i siguran način za izbjeljivanje zuba, odabrati odgovarajuću metodu izbjeljivanja i spriječiti pretjerano izbjeljivanje ili preosjetljivost.
Prirodna boja zubi, na žalost, ne mora uvijek biti bijela kako bismo željeli. Stoga se kao kozmetička i estetska metoda preporuča izbjeljivanje zubi. To je priznata i rutinska metoda kojom se mogu postići zadivljujući rezultati. Zubi mogu biti nedovoljno lijepe boje zbog različitih faktora: genetskih, degenerativnih promjena u razvoju zubi, utjecaja antibiotika, nekih vitaminskih i mineralnih preparata, zbog konzumiranja hrane ili vode s većim udjelom željeza ili fluora, pušenja, zbog starenja, itd. U većini slučajeva izbjeljivanje se izvodi zbog estetskih razloga. Postoje dva najčešća načina izbjeljivanja zuba:
- Izbjeljivanje kod kuće metodom udlage vrlo je efikasan način postizanja lijepog i svijetlog osmijeha. Pacijent sam aplicira gel za izbjeljivanje u odgovarajuću udlagu koju je za njega napravio stomatolog, postavlja udlagu na zube i nosi je preko noći (8 sati). Cijeli tretman traje 8 - 10 nošenja (noći). Efekt izbjeljivanja često je vidljiv već nakon prve noći. Vrijeme potrebno za maksimalno izbjeljivanje zubi ovisi o tome koliko su zubi tamno obojani, odnosno zasićeni tamnim pigmentima.
Aktivno sredstvo za izbjeljivanje koji se u procesu koristi je karbamid peroxid s neutralnim pH od 6.9. Karbamid peroksid je sigurno kemijsko sredstvo, desetljećima korišteno za dezinfekciju usne šupljine, dok danas omogućuje milijunima ljudi diljem svijeta da izbijele svoje zube.
- Izbjeljivanje zuba u ordinaciji obavlja se pomoću posebnog snažnog preparata za izbjeljivanje (Opalescence Boost). Efekt bijelih zubi može se postići već nakon 2 do 3 posjete. Takva metoda je puno brža, a jednako je sigurna i učinkovita poput metode s udlagom. Ponekad jako tamni zubi trebaju duži period izbjeljivanja.
Zašto izbijeliti zube?
Za pacijente koji redovito održavaju oralnu higijenu, izbjeljivanje zubi ima dugotrajniji efekt od bilo kojeg drugog stomatološkog tretmana. Bijeli zubi jednostavno su lijepi.
Proces izbjeljivanja zubi:
- Prije početka tretmana izbjeljivanja, stomatolog pregledava postojeće stanje zubi i zubnog mesa kako bi zajamčio maksimalnu sigurnost tretmana
- Stare plombe i kamenac u većini slučajeva stomatolog uklanja prije tretmana, a eventualne šupljine popunjava. U takvim slučajevima izrađuju se privremene ispune na zubima dok ne završe proces izbjeljivanja, nakon čega se zamjenjuju trajnim ispunama
- Ovisno o pacijentovom stilu života i razini diskoloracije zubi, stomatolog određuje vrstu tretmana izbjeljivanja Pripazite na kućne preparate za izbjeljivanje zubi!
Na tržištu se nalazi veliki broj proizvoda za izbjeljivanje zubi koji jamče uspjeh u izbjeljivanju zubi ali kod kojih se ne traži stručno vodstvo i pomoć stomatologa. Bez nadležnosti stomatologa može doći do neravnomjernog izbjeljivanja zubi. Pacijenti često ne primjećuju da imaju ispune u boji zuba koje neće pobijeliti te će ih se kasnije nakon takvog "kućnog" izbjeljivanja morati zamijeniti novima. U slučajevima nekontroliranog prekomjernog izbjeljivanja, zubi mogu postati transparentni, a samim time i tamniji jer se amalgamski ispuni mogu početi prikazivati kroz strukturu zuba. Ako pacijent ima stare ispune često se javlja i bol. Samo stomatolog može pripremiti pacijenta na pravilan i siguran način za izbjeljivanje zuba, odabrati odgovarajuću metodu izbjeljivanja i spriječiti pretjerano izbjeljivanje ili preosjetljivost.
Keramičke ljuskice ili laminati
Ovom tehnikom postižu se lijepi i bijeli zubi. Ljuskice su pojam vrlo često povezivan s tzv. "holivudskim osmijehom". Radi se o estetskom nadomjesku kod razmaka među zubima, obojenih zuba, ispucale cakline, karijesa, loše pozicioniranih zuba, itd.
Laminati ili ljuskice su keramičke navlake koje se lijepe na prednju stjenku zubi te time korigiraju diskoloraciju i nepravilnosti u obliku zuba - jednom zauvijek. Keramičke ljuskice ne mijenjaju svoju boju, dakle ne tamne.
Prednja površina zuba se izbrusi u dubini od cca. 0,5 mm te se u zubnom laboratoriju na modelu ljuskica načini od bezmetalne keramike, tj. porculana. Prednost ljuskice u odnosu na krunicu je u tome što je ljuskica konzervativniji rad od krunice u pogledu količine zuba koja se mora izbrusiti. U odnosu na krunicu je manje otporan nadomjestak zbog svoje tanke građe te je potrebno pridržavati se nekih uputa prilikom žvakanja, konzumiranja obojenih jela i pića i sl. Najkvalitetniji proizvod te vrste je Procera Veneer iz programa Nobel Biocare kompanije.
Ovom tehnikom postižu se lijepi i bijeli zubi. Ljuskice su pojam vrlo često povezivan s tzv. "holivudskim osmijehom". Radi se o estetskom nadomjesku kod razmaka među zubima, obojenih zuba, ispucale cakline, karijesa, loše pozicioniranih zuba, itd.
Laminati ili ljuskice su keramičke navlake koje se lijepe na prednju stjenku zubi te time korigiraju diskoloraciju i nepravilnosti u obliku zuba - jednom zauvijek. Keramičke ljuskice ne mijenjaju svoju boju, dakle ne tamne. Prednja površina zuba se izbrusi u dubini od cca. 0,5 mm te se u zubnom laboratoriju na modelu ljuskica načini od bezmetalne keramike, tj. porculana. Prednost ljuskice u odnosu na krunicu je u tome što je ljuskica konzervativniji rad od krunice u pogledu količine zuba koja se mora izbrusiti. U odnosu na krunicu je manje otporan nadomjestak zbog svoje tanke građe te je potrebno pridržavati se nekih uputa prilikom žvakanja, konzumiranja obojenih jela i pića i sl. Najkvalitetniji proizvod te vrste je Procera Veneer iz programa Nobel Biocare kompanije.
Keramičke krune i mostovi (Procera® keramičke krune)
Ako su vaši zubi (pogotovo prednji zubi) ne samo šareni i diskolorirani, već i ozbiljno uništeni, Procera krune su idealan način da ih se ujedno učvrsti i estetski popravi.
Više informacija pronađite na:
http://www1.nobelbiocare.com/en/implant-solutions/products/implant-prosthetics/crowns.aspx.
Ako su vaši zubi (pogotovo prednji zubi) ne samo šareni i diskolorirani, već i ozbiljno uništeni, Procera krune su idealan način da ih se ujedno učvrsti i estetski popravi.
Više informacija pronađite na: http://www1.nobelbiocare.com/en/implant-solutions/products/implant-prosthetics/crowns.aspx.
Zubni nakit - atraktivan osmijeh
Želite li još više istaknuti vaš lijep osmijeh, tada vam preporučamo zubni nakit - ručno rađeni nakit od bijelog i žutog zlata ukrašen dragim kamenjem. Postavljanje zubnog nakita ne oštećuje zubnu strukturu, a ukloniti ga se može po želji. Procedura skidanja i stavljanja nakita je bezbolna.
Ekskluzivno - ugradnja dragog kamena! DENTORIUM ordinacije nude vam ekskluzivnu mogućnost ugradnje pravog dragog kamena, poput dijamanta na vaše zube. Obratite nam se s povjerenjem za konzultaciju oko ugradnje pravog dragog kamena na vaše zube.
Želite li još više istaknuti vaš lijep osmijeh, tada vam preporučamo zubni nakit - ručno rađeni nakit od bijelog i žutog zlata ukrašen dragim kamenjem. Postavljanje zubnog nakita ne oštećuje zubnu strukturu, a ukloniti ga se može po želji. Procedura skidanja i stavljanja nakita je bezbolna.
Ekskluzivno - ugradnja dragog kamena! DENTORIUM ordinacije nude vam ekskluzivnu mogućnost ugradnje pravog dragog kamena, poput dijamanta na vaše zube. Obratite nam se s povjerenjem za konzultaciju oko ugradnje pravog dragog kamena na vaše zube.






